
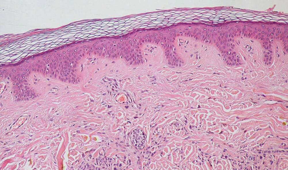
ПНИПУ: создана модель эпителиальной ткани для прогноза роста опухолей
Способность человеческого организма к регенерации — один из самых сложных биологических процессов. В норме клетки координированно восстанавливают поврежденные ткани, однако при диабете, ожогах или онкологических заболеваниях этот механизм дает сбой. Ученые Пермского Политеха разработали алгоритм,
...Далее