
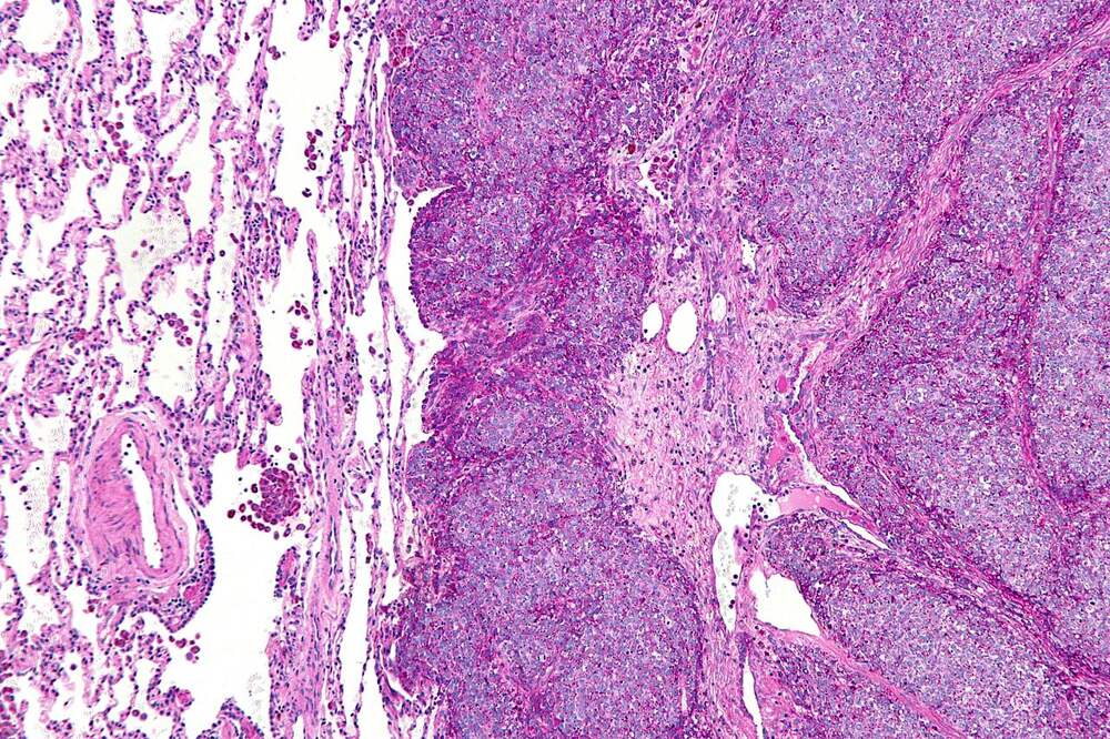
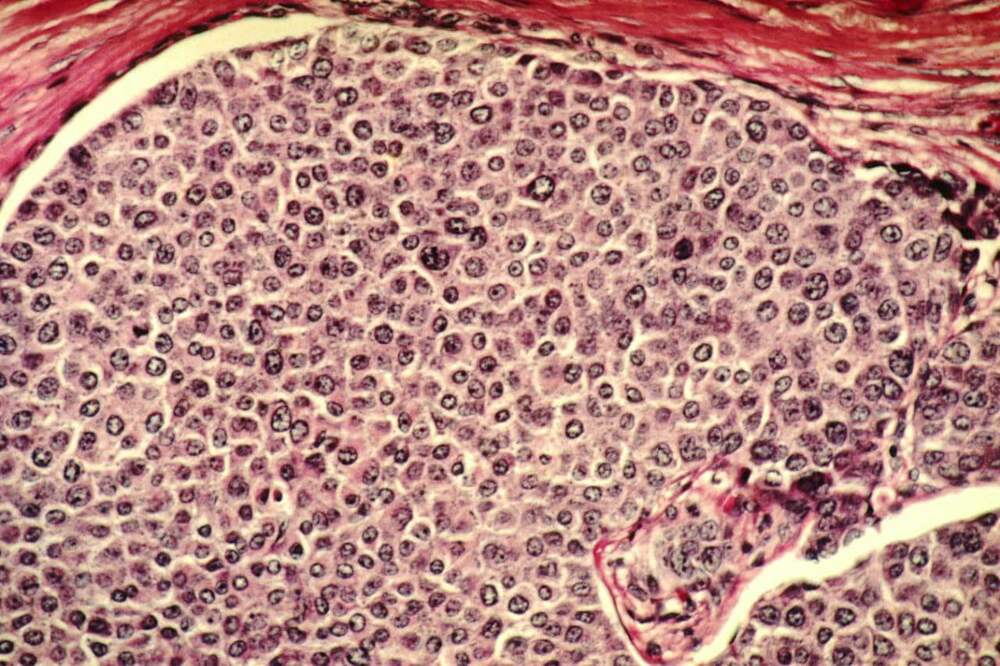
Сеченовские учёные предложили новый способ лечения устойчивой саркомы Юинга
Учёные Сеченовского университета разработали систему доставки препаратов, которая усиливает противоопухолевый эффект и воздействует на клетки саркомы Юинга, нечувствительные к стандартной химиотерапии; результаты опубликованы в журнале Nanomedicine: Nanotechnology, Biology and Medicine (см.... Далее



