
Интересный пациент: женщина, которая приняла мужа за самозванца
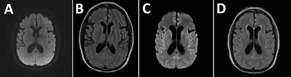
Недавно в журнале BMC Psychiatry описали случай 42-летней женщины, у которой после относительно легко перенесенного ОРВИ развился синдром Капгра, при котором пациент считает, что близких людей заменили самозванцы-двойники. В описываемом случае «самозванцем» стал муж пациентки. Лечение
...Далее

