
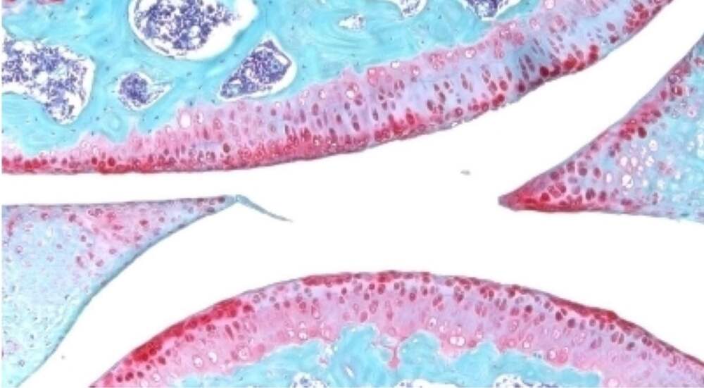
Ученые создали препарат для «омоложения» костей и хрящей
Ученые из Стэнфордского университета совершили прорыв в борьбе с возрастными заболеваниями суставов
...ДалееНа информационном ресурсе применяются рекомендательные технологии (информационные технологии предоставления информации на основе сбора, систематизации и анализа сведений, относящихся к предпочтениям пользователей сети "Интернет", находящихся на территории Российской Федерации)




